Нейрохирурги Воронежской городской клинической больницы №11 спасли руку 49-летнему мужчине с грыжей. В конце октября в нейрохирургическое отделение стационара Воронежской городской больницы №11 поступил 49-летний мужчина. В течение месяца его мучали постоянная боль в шейном отделе позвоночника, а также боль, онемение и слабость в правой руке, однако консервативное лечение не дало положительного эффекта.
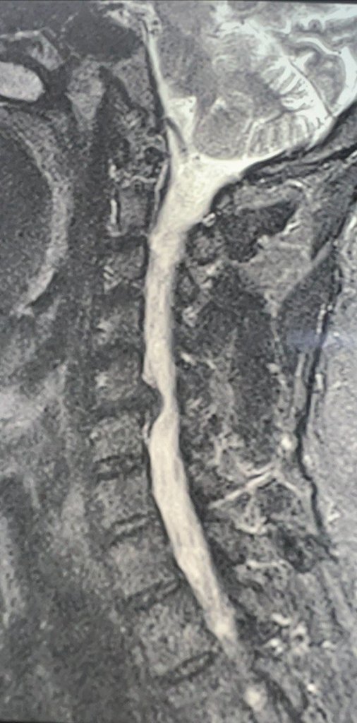
Врачи провели необходимые обследования и установили диагноз: грыжа диска С5-С6, спондилоартроз (дегенеративное поражение межпозвонковых суставов, которое затрагивает хрящи, костные ткани, связки и околосуставные мышцы), корешковый синдром (радикулит) С6 справа с чувствительными и двигательными нарушениями.
Специалисты объяснили пациенту, что без удаления грыжи может развиться паралич правой руки, поэтому было принято решение провести операцию.
Нейрохирурги Владимир Дронов и Евгений Дронов осуществили микрохирургический передний доступ на шее. Специалисты удалили межпозвонковый диск и грыжу C5-C6 с использованием операционного оптического прибора, микрохирургической техники и инструментария. Помимо этого, была устранена компрессия спинного мозга и нервных корешков, а также установлен межтеловой кейдж — металлическая конструкция, которая размещается между двумя соседними позвонками и соединяет их между собой.
Послеоперационный период протекал без осложнений. Уже на следующий день пациенту разрешили вставать и ходить. Болевой синдром и неврологические нарушения в руке полностью разрешились через несколько дней.
Через 7 дней мужчину выписали из стационара с рекомендациями на амбулаторное наблюдение у невролога.
Категории: Региональные новости.











































